The Division of Experimental Imaging (DEI), University Hospital Frankfurt, had a strong and highly visible presence at the ECR 2026 in Vienna, contributing to multiple […]
Rethinking Radiology Reports: A survey of referring physicians’ perspectives
We are happy to announce the publication “Rethinking Radiology Reports: A survey of referring physicians’ perspectives” in European Journal of Radiology. The study by Philipp […]
Up to 80% Radiation Dose Reduction in Prostatic Artery Embolization Using Digital Variance Angiography
We are pleased to announce the publication of our latest prospective randomized controlled trial in European Radiology, demonstrating the clinical potential of Digital Variance Angiography […]
Goodbye 2025, welcome 2026!
As 2025 comes to a close, we would like to take a moment to reflect on an exciting and productive year for the Division of […]
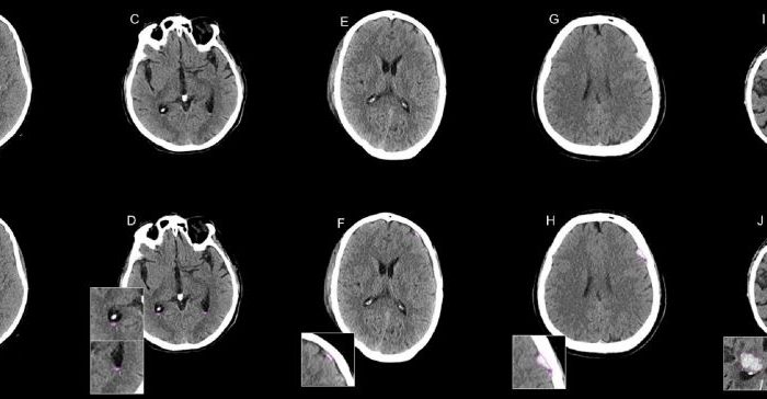
AI assistance improves radiology resident reader performance in CT diagnosis of intracranial hemorrhage
We are pleased to highlight a new publication from our group member Dr. Philipp Reschke in La Radiologia Medica, showcasing the significant value of artificial […]
Happy New Year 2025!
DEI wishes everyone a Happy New Year and would like to thank all collaboration partners for the great success in 2024!
Winner of the Goethe Innovationspreis 2024
We are honored and thrilled to announce that BMDNow has been awarded the Goethe Innovationspreis 2024! Our team BMDNow (collaboration with Fraunhofer IGD Darmstadt and […]
Publication “Carotid artery assessment in dual-source photon-counting CT: impact of low-energy virtual monoenergetic imaging on image quality, vascular contrast and diagnostic assessability” in La Radiologia Medica
Approximately 33 million people worldwide are living with the effects of stroke, and it is the second leading cause of death globally. Carotid artery disease […]
Publication on deep learning-based intracranial hemorrhage assessment in non-contrast CT scans
DEI is happy to share our newly published study on deep learning-based intracranial hemorrhage (ICH) assessment in non-contrast CT scans published in La Radiologia Medica. […]
ECR Best Research Abstract Award 2024 for DEI
PD Dr. Christian Booz receives the ECR Best Research Abstract Award 2024 for our study “Dual-source photon-counting CTA of the Thorax: impact of low energy […]
